
Smile Gallery
Real patient transformations
Changing Lives, One Smile at a Time
Many patients step into our practice with dreams of a completely transformed grin. Others are looking for more subtle transformations. Seeing these individuals walk out of our doors with a beautiful smile and newfound confidence is the reason behind our mission here at Foster Orthodontics. No matter your goals, we’re honored to be a part of your orthodontic journey. Take a look at our Before & After gallery to explore real patient stories!
The Foster Smile
The "clear" choice


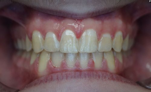
Treatment completed w/ Braces
After 8 months of treatment in braces with Dr. Foster, we accomplished amazing results with closing the gap and correcting the patients patients bite.
Before / After


Before / After


